在医院和诊所的日常运营中,医疗影像的管理与使用一直是关键环节。然而,对于众多小型医疗机构来说,传统的PACS系统不仅价格昂贵,而且操作复杂,维护成本高,令许多机构望而却步。现在,这一痛点有了全新的解决方案——EPS Pi,专为小型医院及诊所设计的紧凑型影像解决方案。
EPS Pi以传统PACS系统1/5的投入成本,为诊所、社区医院等机构提供专业级影像管理能力。这款软硬件一体化的紧凑型设备(重量仅250g,约手掌大小),正在重新定义小型医疗机构的诊断工作流程。

一、空间友好型设计,释放医疗资源潜力
硬件整合架构省去传统PACS的复杂布线,机型小巧可置于诊室角落或随身携带
可作为小型服务器,链接 iPad/手机即时调阅,实现床旁诊断
模块化扩展设计可随机构成长灵活升级,避免重复投资
二、全流程影像管理闭环
可整合非DICOM格式影像,与现有X光机、超声设备无缝对接;
跨平台协作网络支持Windows/macOS /iOS多终端同步;
AI增强诊断可选配肺结节检测、骨折识别等AI模块,辅助提升诊断效率。
三、全方位保障数据安全
数据安全是医疗管理的重中之重。EPS Pi内建加密机制,使用者验证与自动登出功能,并支持本地备份及还原,提供完整的备份与还原选项,为珍贵影像资料建立额外一道安全防线。
四、有效优化流程管理
EPS Pi的使用,可帮助医疗院所全面优化工作流程。它支持工作清单管理,可批次汇入并与HIS系统无缝整合,简化挂号与排程流程,有效提升临床效率。系统还支持多使用者即时存取,允许多位专科医师同时登入检视影像,加强跨领域诊断与协作能力。
五、多种特色操作功能

网页版报告功能-支持基础报告撰写,并可插入关键影像、汇出PDF.
支持热键操作,通过热键快速执行标注、测量与影像切换,提高工作效率。
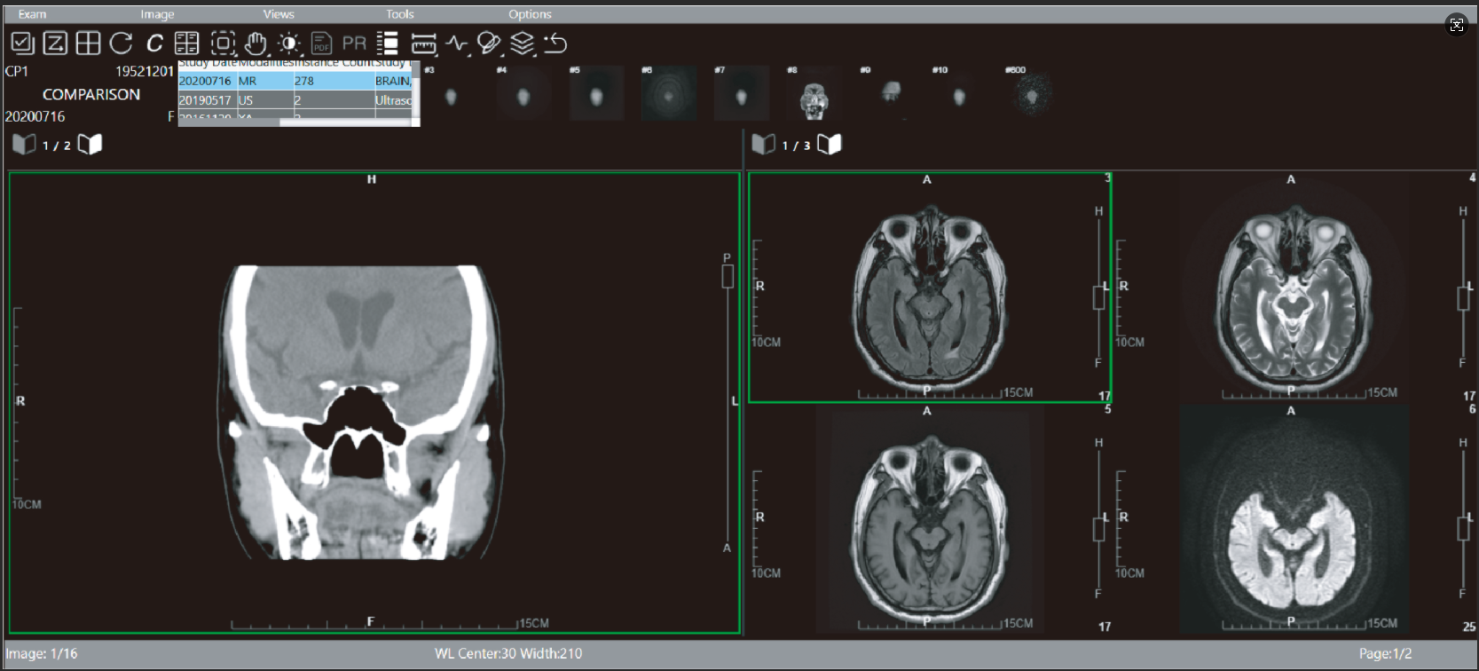
支持CT、MRI多影像同步浏览,提升诊断精准度
支持影像对比功能,可同时对比同一患者不同日期或不同模态的影像,有效掌握患者病情变化。

支持通过云端产生的QR Code分享选定的影像,对方扫描后可实时浏览,大幅提升远程会诊与跨机构协作的便利性。
六、低成本,高回报
最令人惊喜的是,EPS Pi的投资成本仅相当于传统PACS系统价格的五分之一!这让预算有限的小型医疗机构也能享受先进的影像管理解决方案。同时,系统可以根据医院规模进行灵活拓展,随着机构成长而升级,确保长期投资回报。
结语
EPS Pi不仅仅是一款产品,更是我们对提升基层医疗服务质量的一份承诺。我们相信,每一位患者都应当享受到高质量的医疗服务,每一家医疗机构都应当有能力提供这样的服务。EPS Pi的出现,将让这一愿景成为现实。
如果您正在为医疗影像管理的问题而困扰,如果您希望以更低的成本获得更高效的解决方案,EPS Pi将是您的理想选择。



