时下医疗信息化加速迭代的浪潮波涛汹涌,作为已经在国内医学影像信息存储与传输系统(PACS)领域深耕30余年的老牌PACS厂商,北京亿彼恩始终以技术创新与临床需求为双轮驱动,为全国近千家医疗机构构建高效、智能、安全的影像管理体系。从三甲医院的精准诊疗到基层医疗的普惠服务,从国际认证的品质保障到信创国产化的战略布局,我们正在以全场景解决方案重塑医疗影像行业标杆。

我们的产品通过多个国内国际主流认证体系,从研发到临床全流程遵循国际标准:
CFDA认证: 标志着我司PACS系统符合中国大陆医疗设备准入要求,可为国内医疗院所提供合格的医疗影像解决方案。
FDA认证:标志着产品符合美国医疗设备准入要求,为国际市场拓展奠定基础 。
ISO体系:通过ISO 13485医疗器械质量管理体系认证,确保软件的全生命周期可控。

全栈产品矩阵 精准匹配多元临床需求
1. 专科化深度解决方案
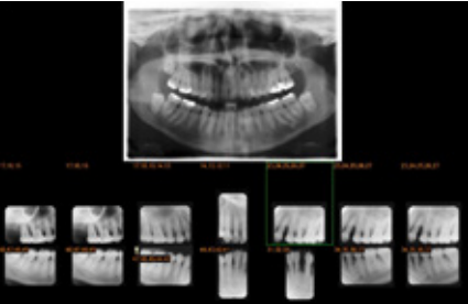
牙科影像系统:提供前端排片数字符化流程工具,简化牙位输入流程。并可依需求自定挂片模式,包含全口、Bitewing、根尖、儿童等。

乳腺科AI辅助诊断:支持跨厂牌调阅乳房摄影影像。可呈现V型屏蔽、中央屏蔽、CAD Mark、PR;可在同个工作站整合Mammo、US、MR、NM影像;并可自定义多种挂片模式及一键看片流程。

移动影像判读:将医师从工作站中解放出来,无论是会议中、家中、旅行途中均能通过手中移动设备来进行即时阅片,并进行报告撰写,相比传统工作站,消弥时间与空间的限制。
2. 智能化技术突破
云胶片系统:替代传统物理胶片,支持DICOM格式影像的无限期云端存储与扫码调阅,帮助医疗院所节省胶片成本。
智能影像辅助系统:PACS系统支持与AI辅助判读的深度融合。可整合肺结节、骨折等多种AI算法,自动生成结构化报告,有效提升放射科人均日报告量。
3. 全流程管理工具
- 放射科管理系统(RIS):与HIS无缝对接,实现检查预约、技师排班、报告审核的闭环管理,帮助医院放射科提升设备利用率。RIS系统满足医护人员个性化设置,提供不同的报告模版,支持影像对比、智能纠错、报告审核、医生特殊权限设置、查阅历史报告、危急值统计、质控管理、集中打印、医生工作量统计等多种功能。
- 集中预约管理系统:提供按月、周、日多种排程方式,合理安排设备使用及维护时间,不影响医院接诊,后台提供预约数据,帮助管理设备及协调医护工作安排,并提供多种信息系统的接口方案
4.技术架构领先 打造数据驱动的医疗新基建
1. 电子病历六级认证级数据整合 基于电子病历六级认证标准设计,支持实现HIS、EMR、PACS核心数据实时同步:
数据一致性:通过统一患者主索引(MPI),确保检查申请、影像数据、诊断报告的“三单匹配”,帮助医院减少因数据错误导致的重复检查。
临床决策支持:影像数据自动关联检验、病理结果,辅助生成多模态诊疗建议。
2. 灵活部署,适配多元医疗场景
支持云端部署、本地部署、混合部署 等多种部署方式,依医院现有架构进行灵活配置。
3. 信创国产化,护航医疗信息安全
作为信创产业核心合作伙伴,我们已完成与国内主流厂商的深度互测,其中包括银河麒麟、统信、优炫、北京人大金仓等,确保PACS系统在国产化环境中能稳定运行。

5. 携手共进 开创医疗影像新未来
北京亿彼恩公司将持续以全模态影像融合、AI辅助诊断、信创国产化为战略支点,与医疗机构、科研院所、产业链伙伴共同构建开放共赢的医疗生态。让我们携手,以影像为纽带,连接更智慧的医疗,守护更美好的健康。



